Veneers

VENEERS

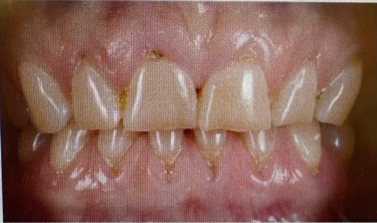
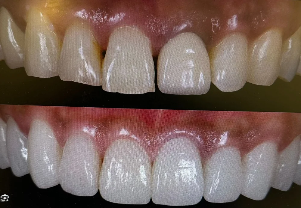
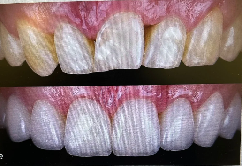
Ceramic or Porcelain is the most popular material used by dentists worldwide when fitting a patient with veneers for their teeth. Ceramic veneers are extremely strong and durable and if cared for in the prescribed way they can last the patient as long as 15 years before having to be replaced. They are also unlikely to stain in the same way that composite veneers do.

Ceramic Veneers

Ceramic Veneers are thin Porcelain facings that are bonded to the teeth to improve appearance. Porcelain laminate veneers (Ceramic veneers) can correct imperfections (chips, cracks, gaps, misalignments, and discolorations in the front teeth) to help you achieve a magnificent, durable, and long-lasting smile. In some cases, it can even protect the teeth from tear and wear. It is an attractive option for people who are not interested in orthodontic braces to straighten teeth. The whole procedure can be completed in 2 dental visits in one week and produce ultimate durable aesthetics. Ceramic Veneers are very thin, custom-made shells crafted of tooth-colored materials designed to cover the front side of the teeth. Veneers help people accomplish a healthy, natural-looking, and beautiful smile with little or no discomfort.

Benefits of Ceramic Veneers:

  • Porcelain laminate veneers are conservative: only a small amount of tooth structure is removed (0.5mm only)
  • Minimum Preparation on teeth (0.5mm or less)
  • Porcelain Laminate Veneers are made of extremely thin layers “0.5mm” of porcelain with very long-term colour stability: Colour doesn’t change, and even cigarettes do not affect their colour. Stable colour over 10-15 years.
  • Porcelain laminate veneers are very durable
  • Long service: usually 10-15 years (if you avoid using them to bite or crack Hard objects like ice
  • Same Strengths of Real Teeth (3x Harder than Composite)
  • Porcelain laminate veneers have natural enamel-like translucency:
  • Very Natural colour, looks like normal beautiful teeth
  • Natural beauty and strength.
  • Porcelain laminate veneers are Metal-Free:
  • Now with Metal-Free restorative materials you can get the Healthy and Beautiful smile you’ve always wanted.

For a Smile Makeover Consultation please call 020 8299 1434 and one our friendly receptionists will be happy to help you.

Alternatively you can email us at: info@dulwichdentists.co.uk

Everything You Need to Know

Frequently Asked Questions

How often should I visit the dentist?
It’s recommended to see your dentist every 6 months for a routine check-up and cleaning, unless advised otherwise.
What should I do in a dental emergency?
Call our office immediately. We offer same-day emergency care for issues like severe pain, broken teeth, or swelling.
Do you offer services for kids?
Absolutely! We provide gentle, friendly pediatric dental care for children of all ages.
What are my options for replacing missing teeth?
We offer dental implants, bridges, and dentures depending on your needs and preferences.
Is teeth whitening safe?
Yes, when performed by a dental professional, teeth whitening is safe and effective with long-lasting results.

Ready to Book Your Appointment?

Contact us today to schedule your visit and take the first step toward a healthier smile.

About Us

At Aesthetic Dental Zone, our London clinic offers top-quality cosmetic and general dental care at affordable prices. Just minutes from central London, we provide expert treatments like teeth whitening, orthodontics, implants, and more — all with exceptional patient care.