Fixed Metal Braces

FIXED APPLIANCES – Braces

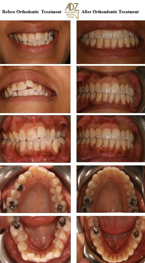
Fast, Safe, and Affordable. Results in just 3 months to a year.

With safety in mind, Fixed Appliances® Technology was developed to straighten teeth differently allowing for a fast, safe, and affordable solution. Here at the Aesthetic Dental Zone in London, we are one of the first practices to introduce this phenomenal breakthrough for virtually pain-free, affordable orthodontic treatment, within a warm, relaxed, friendly environment, performed by Dr. A. Nadjafi or our Orthodontic Specialist Ohsun Kwon.

Fixed Appliances® Technology in London allows for movement of the roots of the teeth towards their final positions from the beginning of treatment by torqueing them from the very first appointment. Patients can now get results often with less sensitivity, in about a year, and in some cases, just a few months. It has been developed and tested over the past 20 years and is now becoming available in countries around the world. Fixed Appliances® Technology in London is fast, safe, easy and affordable treatment that comes with a lifetime satisfaction commitment from the doctor providers. With the patented triangular design of the braces, cutting-edge techniques and a special heat-activated wire, this new technology is revolutionizing the field of orthodontics.

Braces for Adults

Hearing the words “you need braces” can send some people into a battle of insecurity. You’re trying to be a grown-up, but you feel like a teenager again. When they are wearing adult braces, some people are afraid to speak up during a business meeting or enjoy the adventure of a first date. As frightening as it may be, Fixed Appliances® Technology in London, could be the fastest, most affordable, and best alternative for you and can give you the advantage of a quick, permanent solution.

Braces for Children

Misaligned teeth or a dysfunctional bite can be a problem for some children. While this can complicate their oral hygiene, the additional pressures of being a kid can affect their day-to-day mood, attitude and self-confidence. Fortunately, with the Fixed Appliances® Technology in London, children can receive quick orthodontic treatment with minimum discomfort and a lifetime satisfaction commitment.

Dr A R Nadjafi has a vast number of years’ experience, treating children. With his calm nature and interpersonal skills in treating children, you won’t be disappointed in choosing the Aesthetic Dental Zone for your children’s Orthodontic Treatment, all at affordable prices in the heart of London.

Fast Results, Clear Options

The new and amazing Fixed Appliances®Clear ceramic bracket offers the same advantages of moving teeth as the Fixed Appliances® metal brackets with the added benefit of an aesthetic and totally cosmetic solution. Available in early 2013, Fixed Appliances®ClearTM will dazzle you with its performance.

Get Fantastic results with less time and less discomfort. Full Orthodontic Treatment in just under 10 Months!

 

Our Orthodontic Specialist Dr Ohsun Kwon is available after school hours from 5pm – 7pm on Tuesdays.

Everything You Need to Know

Frequently Asked Questions

How often should I visit the dentist?
It’s recommended to see your dentist every 6 months for a routine check-up and cleaning, unless advised otherwise.
What should I do in a dental emergency?
Call our office immediately. We offer same-day emergency care for issues like severe pain, broken teeth, or swelling.
Do you offer services for kids?
Absolutely! We provide gentle, friendly pediatric dental care for children of all ages.
What are my options for replacing missing teeth?
We offer dental implants, bridges, and dentures depending on your needs and preferences.
Is teeth whitening safe?
Yes, when performed by a dental professional, teeth whitening is safe and effective with long-lasting results.

Ready to Book Your Appointment?

Contact us today to schedule your visit and take the first step toward a healthier smile.

About Us

At Aesthetic Dental Zone, our London clinic offers top-quality cosmetic and general dental care at affordable prices. Just minutes from central London, we provide expert treatments like teeth whitening, orthodontics, implants, and more — all with exceptional patient care.