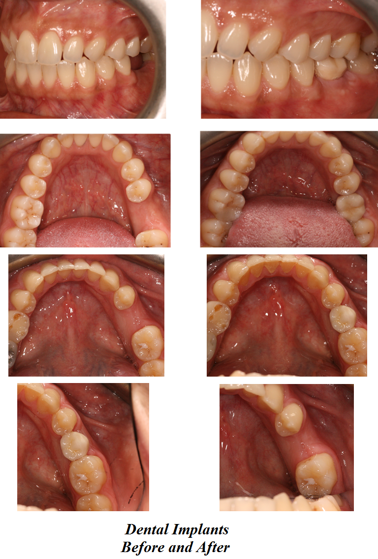
Guided Implant Surgery

Guided Implant Surgery

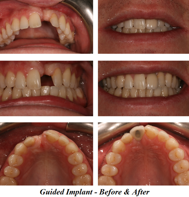
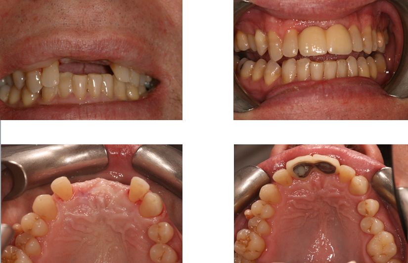
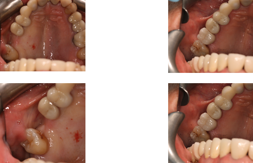
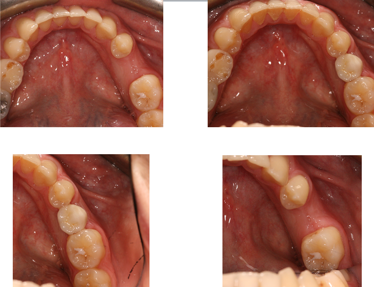
Here at Aesthetic Dental Zone we embrace new concepts, guided implant surgery provides a solution where doctors can plan an implant virtually, and then accurately place an implant in the safest, predictable and efficient manner.

With guided surgery, we place the implant for the best aesthetic result and can predict accurately how much room will be needed for the crown and for any veneered superstructure that may go over the abutment.

From a single missing tooth to an edentulous jaw. It aids your Doctor to diagnose, plan the treatment and place your implants based on restorative needs and surgical requirements.

Following an initial Implant Consultation and CBCT scan (3D Scan of your jaw) we can get to work on your specific Implant case.Guided Implant Surgery takes away the need to be too invasive when placing your dental implants.

It is extremely accurate, more comfortable and the healing time is reduced.Guided Implant Surgery is a state of the art technology, trust in us to make your implant process as simple and easy as possible. 

Aesthetic Dental Zone Guided Implants

Everything You Need to Know

Frequently Asked Questions

How often should I visit the dentist?
It’s recommended to see your dentist every 6 months for a routine check-up and cleaning, unless advised otherwise.
What should I do in a dental emergency?
Call our office immediately. We offer same-day emergency care for issues like severe pain, broken teeth, or swelling.
Do you offer services for kids?
Absolutely! We provide gentle, friendly pediatric dental care for children of all ages.
What are my options for replacing missing teeth?
We offer dental implants, bridges, and dentures depending on your needs and preferences.
Is teeth whitening safe?
Yes, when performed by a dental professional, teeth whitening is safe and effective with long-lasting results.

Ready to Book Your Appointment?

Contact us today to schedule your visit and take the first step toward a healthier smile.

About Us

At Aesthetic Dental Zone, our London clinic offers top-quality cosmetic and general dental care at affordable prices. Just minutes from central London, we provide expert treatments like teeth whitening, orthodontics, implants, and more — all with exceptional patient care.