CEREC ( same day crown/veneer/bridge )

Restoration with CEREC

The best innovation for the best results

Thanks to our CEREC machine, we can provide Crowns on the same day of your appointment, you only need 90 minutes appointment!

Our CEREC machine can also create personalised Bridges, Veneers, Inlays, and Onlays for every patient.

So why choose CEREC?

Worldwide, more than 30 million tooth restorations have been produced with CEREC technology. Our machine uses the best and most up-to-date technology and digital scans to eliminate the need for dental impressions, temporary material measures and two weeks of waiting.

What does the CEREC treatment procedure mean for you?

  • No conventional impressions. The CEREC 3D measuring camera scans the prepared tooth in just a few seconds. This eliminates the need for unpleasant silicone impressions to take be taken.
  • No temporaries. CEREC restorations are milled out of a solid ceramic block. In just a short perperiodhey are that heady to be placed immediately. This eliminates the need for a temporary filling or crown. It also means that you need only one appointment. You won’t need to forget for days on end until the ceramic filling is finished.
  • No long waiting periods. Because CEREC restorations can be placed immediately, you only need one appointment. And you benefit from tooth restorations that have demonstrated their durability time and time again.
  • Metal-free
  • Long lasting

The CEREC procedure step by step:

  1. Before treatment begins, you will need to book an examination with our Principal Dentist Dr Nadjafi who will inform you about the benefits of CEREC during your visit.

  2. After removing the decayed tissue or the defective amalgam filling we create a 3D image of the tooth with the aid of CEREC camera.

  3. The restoration is designed on the monitor of the CEREC acquisition unit.

  4. The CEREC milling unit machines the restorations out of a ceramic block.

  5. The milled restoration is bonded directly to your tooth.

You can film take pictures and show your friends and family! it is truly an innovative piece of equipment

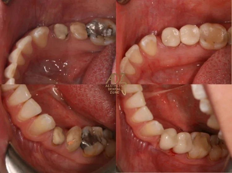
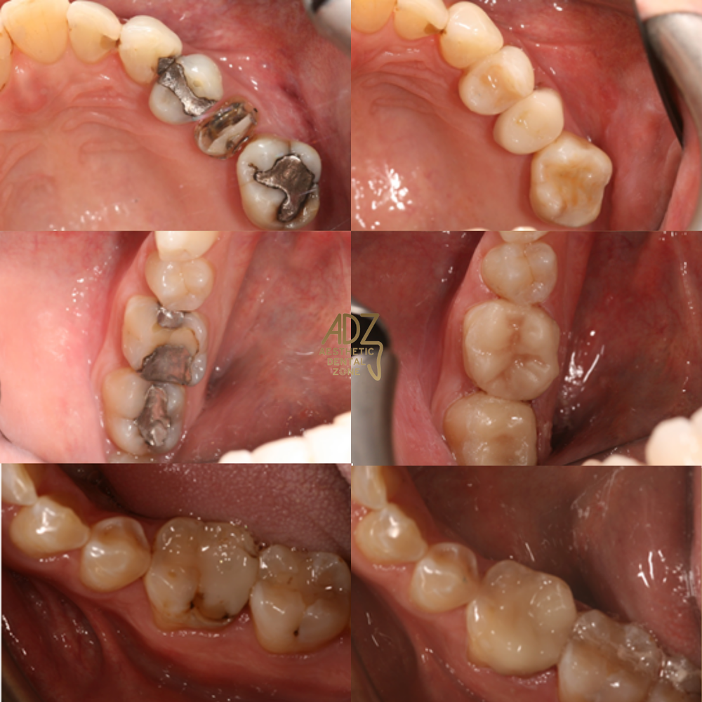
CEREC SAME-DAY CROWN

BEFORE AND AFTERS

Everything You Need to Know

Frequently Asked Questions

How often should I visit the dentist?
It’s recommended to see your dentist every 6 months for a routine check-up and cleaning, unless advised otherwise.
What should I do in a dental emergency?
Call our office immediately. We offer same-day emergency care for issues like severe pain, broken teeth, or swelling.
Do you offer services for kids?
Absolutely! We provide gentle, friendly pediatric dental care for children of all ages.
What are my options for replacing missing teeth?
We offer dental implants, bridges, and dentures depending on your needs and preferences.
Is teeth whitening safe?
Yes, when performed by a dental professional, teeth whitening is safe and effective with long-lasting results.

Ready to Book Your Appointment?

Contact us today to schedule your visit and take the first step toward a healthier smile.

About Us

At Aesthetic Dental Zone, our London clinic offers top-quality cosmetic and general dental care at affordable prices. Just minutes from central London, we provide expert treatments like teeth whitening, orthodontics, implants, and more — all with exceptional patient care.