Orthodontics

REMOVABLE APPLIANCE – Invisalign

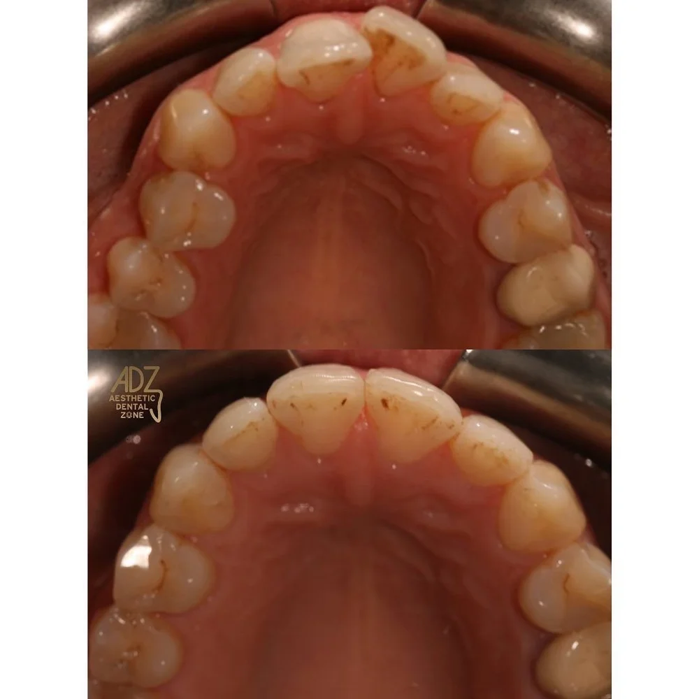
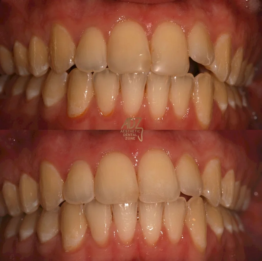
Looking for an alternative to metal braces? Here at Aesthetic Dental Zone, we offer Invisalign Orthodontic Treatment.

Invisalign treatment is the simple and invisible cosmetic solution to achieving the smile you desire. Avoid fixed appliances (braces) and realign your teeth with a set of our aligners.

Before you start your Invisalign journey. You will need to book an Orthodontic Consultation with Dr A. Nadjafi or our Orthodontic Specialist Dr. Kwon. In this appointment, the dentist will assess your teeth to see if you are suitable for the treatment. If you are, the dentist will then take an X-ray and photographs to plan your treatment plan.

What is Invisalign and how does it work?

Invisalign is an orthodontic treatment that straightens teeth using a system of clear plastic aligners fitted to the patient’s evolving bite. The clear aligners exert force on crooked teeth, gradually shifting them. Patients will be advised to change aligners every one to two weeks as the bite progresses toward an ideal outcome. The numbers of aligners needed is different for each individual.

Invisalign patients will be required to wear their aligners for 20 to 22 hours a day taking them out only to eat and brush teeth.

On the day of the Invisalign fitting appointment. The dentist may cement small handle-like attachments to the teeth; these help the aligners exert proper force on problem areas.  Patients will be asked to see the dentist between 4-6 weeks to see make sure everything is okay and they are happy with the progress.

REMOVABLE APPLIANCE – Invisalign

  • Being less noticeable — nearly invisible
  • No food or dietary restrictions
  • Easy brushing and flossing
  • Fewer and shorter appointments
  • Less irritation and discomfort
Everything You Need to Know

Frequently Asked Questions

How often should I visit the dentist?
It’s recommended to see your dentist every 6 months for a routine check-up and cleaning, unless advised otherwise.
What should I do in a dental emergency?
Call our office immediately. We offer same-day emergency care for issues like severe pain, broken teeth, or swelling.
Do you offer services for kids?
Absolutely! We provide gentle, friendly pediatric dental care for children of all ages.
What are my options for replacing missing teeth?
We offer dental implants, bridges, and dentures depending on your needs and preferences.
Is teeth whitening safe?
Yes, when performed by a dental professional, teeth whitening is safe and effective with long-lasting results.

Ready to Book Your Appointment?

Contact us today to schedule your visit and take the first step toward a healthier smile.

About Us

At Aesthetic Dental Zone, our London clinic offers top-quality cosmetic and general dental care at affordable prices. Just minutes from central London, we provide expert treatments like teeth whitening, orthodontics, implants, and more — all with exceptional patient care.