Crowns

DENTAL CROWNS

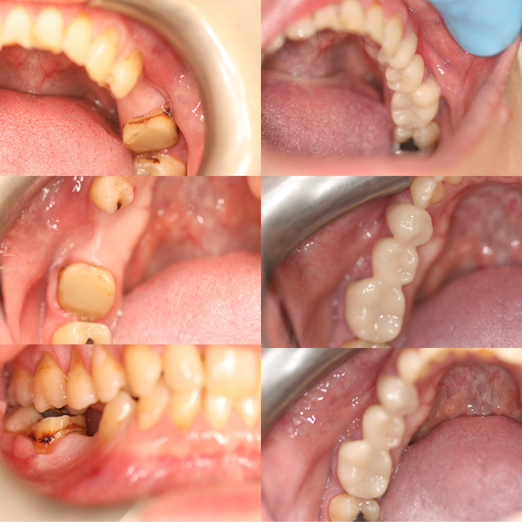
A crown is a full tooth cover restoration that is placed over a cracked, broken, root filled or a heavily filled tooth to protect the tooth against fracture Dental crowns are similar in shape and shade to dental veneers except that crowns cover all the surfaces of a tooth whereas veneers only cover the visible outside surface of the tooth.

TYPES OF CROWNS

  • Ceramic Crown: Cosmetically these crowns look the best and are usually indicated for front teeth. These crowns have no grey metal inside them, so if in time the gum recedes, there will be no grey metal margin on show around the crown
  • Metal Ceramic Crown: These crowns have a metal core inside and porcelain bonded to their outside. The core inside can be made from precious, semi-precious or non-precious metals and it provides the strength behind these crowns. However, the porcelain bonded to the metal cores is not very strong and from time to time can fracture. Metal Ceramic crowns are usually used on back teeth although some dentists use them for front teeth as well. The aesthetics of Metal Ceramic crowns are not as good as all ceramic crowns, however, their strength is higher.
  •  Strength-wise, depending on the type of the crown, most of the ceramic crowns are as strong as the conventional crowns. An example of this would be Zirconium-containing crowns that have a tooth-coloured Zirconium core with porcelain on top.

REASONS FOR HAVING A DENTAL CROWN

If a significant part of a tooth is lost to dental decay and there is a risk that if a filling is used to restore the tooth, the filling could come out or fracture. Crowns are a lot stronger that fillings and better able to protect against tooth fracture

During root canal treatment, a large portion of the tooth is removed and the remaining tooth tissue can fracture and discolour after root canal treatment. A crown can increase the success rate of a root canal-treated tooth and protect the structure of the tooth and increase its longevity and its aesthetics.

If a large part of a tooth has fractured and the rest of the tooth is at risk of further fracture, a dental crown can protect the remaining part of the tooth from fracture.

For cosmetic purposes, people who have large mismatched fillings on their front teeth may opt to have crowns to improve their smile.

All crowns made at the Aesthetic Dental Zone are sent away and made in Sweden or Germany

Everything You Need to Know

Frequently Asked Questions

How often should I visit the dentist?
It’s recommended to see your dentist every 6 months for a routine check-up and cleaning, unless advised otherwise.
What should I do in a dental emergency?
Call our office immediately. We offer same-day emergency care for issues like severe pain, broken teeth, or swelling.
Do you offer services for kids?
Absolutely! We provide gentle, friendly pediatric dental care for children of all ages.
What are my options for replacing missing teeth?
We offer dental implants, bridges, and dentures depending on your needs and preferences.
Is teeth whitening safe?
Yes, when performed by a dental professional, teeth whitening is safe and effective with long-lasting results.

Ready to Book Your Appointment?

Contact us today to schedule your visit and take the first step toward a healthier smile.

About Us

At Aesthetic Dental Zone, our London clinic offers top-quality cosmetic and general dental care at affordable prices. Just minutes from central London, we provide expert treatments like teeth whitening, orthodontics, implants, and more — all with exceptional patient care.