Smile Makeover

Smile Makeover

At Aesthetic Dental Zone we are dedicated to helping you to achieve the perfect smile for your wedding day. Our range of cosmetic dentistry and facial rejuvenation treatments have been designed to ensure that you walk down the aisle on your big day, with confidence, looking and feeling your absolute best.

Whether you’re the bride, groom, mother of the bride or bridesmaid, why not take some time out to visit our beautiful clinic in South East London? Our experienced cosmetic dentists will discuss your various treatment options with you and provide you with a beautiful wedding smile.

Our extensive range of facial cosmetic services includes:

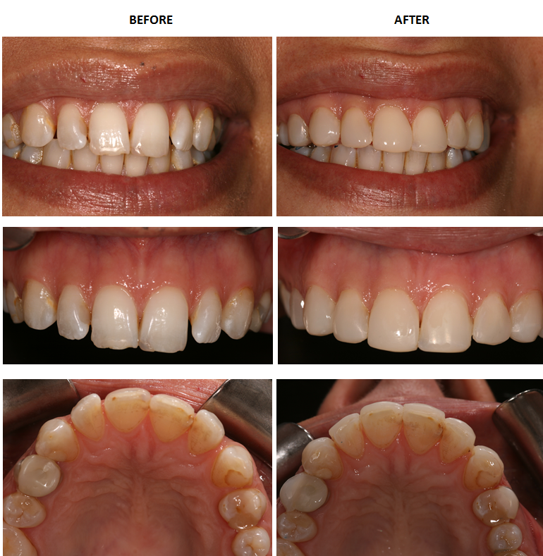
  • Teeth whitening
  • Lumineer porcelain veneers for the perfect wedding smile makeover.
  • Snap-on Smile treatments.
  • Botox, anti-wrinkle treatments and dermal fillers.
  • Invisible braces.
  • Replacing silver fillings to White filling

For consultation please call 020 8299 1434 and one our friendly receptionists will be happy to assist you.

Alternatively you can email us at: info@dulwichdentists.com

Everything You Need to Know

Frequently Asked Questions

How often should I visit the dentist?
It’s recommended to see your dentist every 6 months for a routine check-up and cleaning, unless advised otherwise.
What should I do in a dental emergency?
Call our office immediately. We offer same-day emergency care for issues like severe pain, broken teeth, or swelling.
Do you offer services for kids?
Absolutely! We provide gentle, friendly pediatric dental care for children of all ages.
What are my options for replacing missing teeth?
We offer dental implants, bridges, and dentures depending on your needs and preferences.
Is teeth whitening safe?
Yes, when performed by a dental professional, teeth whitening is safe and effective with long-lasting results.

Ready to Book Your Appointment?

Contact us today to schedule your visit and take the first step toward a healthier smile.

About Us

At Aesthetic Dental Zone, our London clinic offers top-quality cosmetic and general dental care at affordable prices. Just minutes from central London, we provide expert treatments like teeth whitening, orthodontics, implants, and more — all with exceptional patient care.