Bioclear

Bioclear

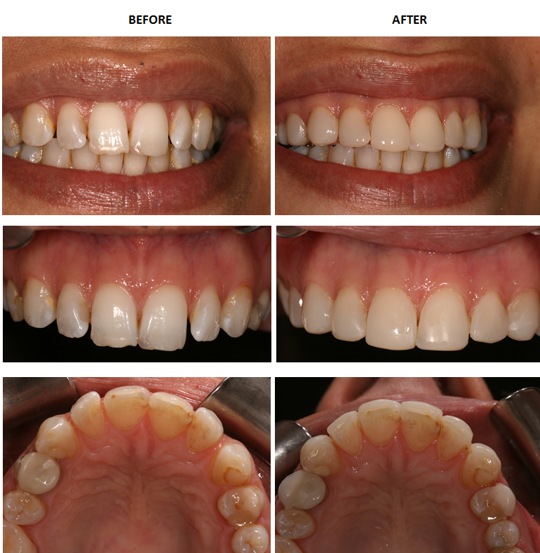
Up to 30% of adults have black triangles, clinically known as open gingival embrasures. This is often due to bone loss and recession of the gum line and sometimes due to the movement in the teeth. Dark spaces between the teeth can make the teeth look old. They are also prone to accumulate food debris encouraging excessive plaque build-up. In cases where the enamel is perfectly healthy, these needn’t be masked with veneers. Using a special composite bonding technique, Dr Nadjafi can close these gap’s improving the integrity of the gum and appearance of your smile.

Bioclear is a minimally invasive & cost effective treatment using clear forms which are filled with a composite material matched to the shade of your teeth. The forms are removed leaving behind smooth contoured composite that has beautiful shines that is smooth to the touch. The form sits just below the gum line, meaning the teeth will appear to emerge naturally. The tight contacts achieved with this system means that the papilla (the gum in-between the teeth) is hugged back into place, revealing a healthy and youthful smile.

Bioclear treatment is also perfect for closing diastemas; this is the vertical gap in-between two teeth. Celebrities such as Madonna, Eddie Murphy, Jack Black, Lauren Hutton and Willie Nelson have a diastema. It makes your smile unique and you can choose to close your charming mid line gap. Though diastema is considered harmless, meaning it rarely affects dental health, some people want to close those smile gaps. Using a clear form and composite bonding.

 

Another common dislike among patients can be undersized lateral or peg laterals. This is where the tooth has not grown to its full capacity, making the smile line look uneven. Due to the excellent quality of shaded composite materials coupled with the Bioclear system, these teeth can be built up to reveal an aesthetically symmetrical smile.

Everything You Need to Know

Frequently Asked Questions

How often should I visit the dentist?
It’s recommended to see your dentist every 6 months for a routine check-up and cleaning, unless advised otherwise.
What should I do in a dental emergency?
Call our office immediately. We offer same-day emergency care for issues like severe pain, broken teeth, or swelling.
Do you offer services for kids?
Absolutely! We provide gentle, friendly pediatric dental care for children of all ages.
What are my options for replacing missing teeth?
We offer dental implants, bridges, and dentures depending on your needs and preferences.
Is teeth whitening safe?
Yes, when performed by a dental professional, teeth whitening is safe and effective with long-lasting results.

Ready to Book Your Appointment?

Contact us today to schedule your visit and take the first step toward a healthier smile.

About Us

At Aesthetic Dental Zone, our London clinic offers top-quality cosmetic and general dental care at affordable prices. Just minutes from central London, we provide expert treatments like teeth whitening, orthodontics, implants, and more — all with exceptional patient care.